Bisulfite Conversion Kit (Magnetic Beads)
The Bisulfite Conversion Kit (Magnetic Beads) was developed for the detection of genomic DNA methylation using a simple conversion approach. Bisulfite conversion is a standard technique for DNA methylation analysis. The conversion can distinguish methylated cytosines from unmethylated cytosines at single base resolution of genomic DNA.

Kit Workflow
The conversion converts unmethylated cytosines to uracils using sodium bisulfite, while methylated cytosines (5-mC) remain unchanged. First, genomic DNA is denatured to single-stranded DNA and treated with sodium bisulfite. Sodium bisulfite selectively converts unmethylated cytosines into uracils through deamination, while the methylated cytosines (including both 5-methylcytosine and 5-hydroxymethylcytosine) are not changed. The conversion is typically followed by PCR, in which uracils are further converted to thymines. As a result, all unmethylated cytosines are converted into thymines, and all methylated cytosines remain cytosines. The conversion difference of methylated and unmethylated cytosines can be detected and identified by comparison to the original genome.

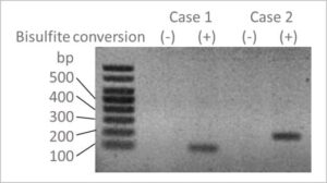
Conversion PCR data
Our kit combines DNA denaturation and bisulfite conversion into one step. Solid Phase Reversible Immobilization (SPRI) beads is used for desulphonation and purification. The beads are paramagnetic particles coated with carboxyl groups that can reversibly bind to DNA fragments and are effective and easy for DNA purification. Our magnetic beads also allows the elution of converted DNA in a small volume of solution without yield loss.

Conversion qPCR data
Popular downstream applications for analyzing DNA methylation include PCR, methylation-specific PCR (MS-PCR), COBRA, pyrosequencing, Next Generation Sequencing (NGS), and methylation-based microarray.
Specifications
Specifications | |
Conversion efficiency | > 99.5% |
Input range | 1 ng - 1 µg |
Input recovery | > 70% |
DNA purity | OD 260/A280 ≥1.8; OD 260/A230 ≥1.5 |
Elution volume | 20-50 µl |
Features
- High conversion efficiency (>99%)
- Input DNA range: 1-1000 ng
- Ready-to-use reagents
- Low elution volume without yield loss
- Beads-based technology
- No centrifuge
- No column
- No vacuum
Protocol & MSDS Download
Product Category
Cat.# & Rxns
- Cat.# 15701S: 24 rxns
- Cat.# 15701L: 48 rxns
Related Products
- Bisulfite Sequencing Library Prep Kit
- Methylation Specific Bisulfite-Seq Library Prep Kit
- Magnetic Beads (DNA & RNA Purification)
- Genomic DNA Extraction Kit for Cells (HMW, Magnetic Beads)
- Genomic DNA Extraction Kit for Blood (HMW, Magnetic Beads)
- Genomic DNA Extraction Kit for Tissues (HMW, Magnetic Beads)
- Genomic DNA Extraction Kit for Plants (HMW, Magnetic Beads)
Background info
