NGS DNA Fragmentation & Library Prep Kit (Ion Torrent Platform)
The NGS DNA Fragmentation & Library Prep Kit (ion torrent platform) was developed for construction of high quality libraries for next generation sequencing for ion torrent platform. The kit uses intact genomic DNA (both EDTA-free DNA and DNA in TE buffer are compatible) as input DNA without an additional DNA fragmentation step. Our NGS kit has a fast and simple workflow with only three step. In addition, all steps can be performed in one tube. The DNA libraries can be generated within one hour with less than 10 minutes of hands-on time. Library multiplexing up to 12 samples is possible.

NGS DNA Fragmentation & Library Prep Kit Workflow
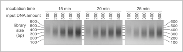
The incorporation of DNA fragmentation in the kit makes it possible to directly use intact genomic DNA as input DNA without the need of mechanical DNA shearing or enzymatic DNA fragmentation. The protocol is optimized to generate libraries from 200 bp to 500 bp in size. The library size is inversely correlated with the incubation time of step 1 at 20°C.
Features
- Fast: 1-hour library construction from intact genomic DNA to NGS library
- Total time: 1 hr
- Hands-on time: 5 min
- Intact genomic DNA can be used directly as input; DNA fragmentation is not required.
- Works with both EDTA-free DNA samples and DNA samples in TE buffer
- Simple workflow
- Three steps
- Only one beads purification step

NGS DNA Fragmentation & Library Prep Kit (Ion Torrent Platform): Library size distribution with different incubation time.

Library conversion efficiency for NGS DNA Fragmentation & Library Prep Kit (Ion Torrent Platform). 100 ng, 300 ng and 500 ng of DNA were used as input.
Protocol & MSDS Download
Cat.# & Rxns
- Cat.# 30052S/30052L: 24/48 rxns
- Cat.# 30053S/30053L: 48/96 rxns (with index)
Related Products
- NGS DNA Library Prep Kit
- NGS DNA Library Prep Kit (Ion Torrent Platform)
- PCR-free NGS DNA Library Prep Kit
- NGS Low Input DNA Library Prep Kit
- ChIP-Seq Library Prep Kit
- NGS Cell-free DNA Library Prep Kit
- NGS FFPE DNA Library Prep Kit
- Bisulfite Sequencing Library Prep Kit
- Methylation Specific Bisulfite-Seq Library Prep Kit
- NGS Single Stranded DNA Library Prep Kit
- NGS Ancient DNA Library Prep Kit
- NGS DNA Fragmentation & Library Prep Kit
- Multiplexing UDI Primers (Illumina Platform)
- Multiplexing UDl Primers & Adaptors (Illumina Platform)
- Magnetic Beads (DNA & RNA Purification)Â
- NGS Library Quantification Standards With PCR Primers (Ion Torrent platform)
- NGS Library Circularization Kit (MGI platform)
- Library Size Selection Kit (250-350 bp, Magnetic Beads)
- Library Size Selection Kit (300-450 bp, Magnetic Beads)
- Library Size Selection Kit (450-750 bp, Magnetic Beads)
- Library Size Selection Kit (>5 kb, Magnetic Beads)
- Library Size Selection Kit (>10 kb, Magnetic Beads)
- DNA Normalization Magnetic Beads (NGS, PCR, gDNA)
Background info
