2X PCR Master Mix
2X PCR Master Mix is a ready-to-use 2X master mix solution containing Taq DNA polymerase, dNTPs, MgCl2 and stabilizers. The master mix allows the setup of the reactions in less than a minute by just adding primers and DNA templates, saves time and reduces contamination due to the fewer pipetting steps required for reaction set up, particularly when preparing large numbers of reactions. The mix is optimized for efficient and robust amplification of DNA templates with reproducibility and high yields.
Taq DNA Polymerase is derived from the thermophilic bacterium Thermus aquaticus. Taq DNA Polymerase is a highly thermostable DNA polymerase that possesses 5’-3’ polymerase activities and 5’-3’ exonuclease activities, and lacks 3’-5’ exonuclease activity. Taq DNA Polymerase produces 3’-dA-tailed PCR fragments that can be used for TA cloning.
The reagent is a reliable, affordable, and robust DNA polymerase for routine PCR applications including genotyping, DNA cloning, library construction, high throughput assays, and screening. Taq DNA Polymerase can amplify DNA target up to 5 kb. The elongation speed is around 1 kb per minute at 72°C.

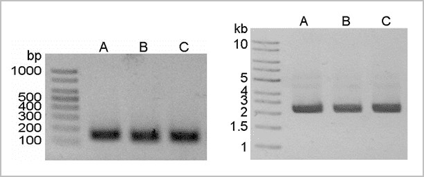
Amplification data. The Master Mix was used in three DNA samples with different amplicon sizes
Features
- Convenient, ready-to-use master mix for easy reaction setup
- Low background DNA
- Reliable and robust reactions
- Incorporates modified nucleotides such as biotin-, digoxigenin-, and fluorescence-labeled
- PCR fragments have 3′-dA overhangs
Applications for 2X PCR Master Mix
- Routine PCR
- TA cloning
- High throughput PCR
- Crude sample PCR
Protocol & MSDS Download
Product Category
Cat.# & Rxns
- Cat.# 50501S: 100 rxns
- Cat.# 50501L: 500 rxns
Related Products
- 2X qPCR Master Mix (Dye-Based)
- 2X qPCR Master Mix (Probe-Based)
- One-Step RT-PCR Kit
- One-Step RT-qPCR Kit (Dye-Based)
- One-Step RT-qPCR Kit (Probe-Based)
- Betaine 5M (Molecular Biology Grade)
- ROX (25 μM)
Background info
